Mouse Monoclonal Antibody to NBN
货号:
30612
别名:
ATV; NBS; P95; NBS1; AT-V1; AT-V2
应用:
WB,IHC,IF,FCM
反应种属:
Human,Rat
抗体类型:
Primary antibody
Swissprot:
O60934
规格:
目录价
在线咨询
Description |
|---|
Mutations in this gene are associated with Nijmegen breakage syndrome, an autosomal recessive chromosomal instability syndrome characterized by microcephaly, growth retardation, immunodeficiency, and cancer predisposition. The encoded protein is a member of the MRE11/RAD50 double-strand break repair complex which consists of 5 proteins. This gene product is thought to be involved in DNA double-strand break repair and DNA damage-induced checkpoint activation. |
References |
|---|
| 1. Fam Cancer. 2012 Dec;11(4):595-600. 2. Mol Carcinog. 2011 Sep;50(9):689-96. |
Specification |
|
|---|---|
| Aliases | ATV; NBS; P95; NBS1; AT-V1; AT-V2 |
| Entrez GeneID | 4683 |
| Swissprot | O60934 |
| clone | 7E4A2 |
| WB Predicted band size | 85kDa |
| Host/Isotype | Mouse IgG2a |
| Antibody Type | Primary antibody |
| Storage | Store at 4°C short term. Aliquot and store at -20°C long term. Avoid freeze/thaw cycles. |
| Species Reactivity | Human,Rat |
| Immunogen | Purified recombinant fragment of human NBN (AA: 467-615) expressed in E. Coli. |
| Formulation | Purified antibody in PBS with 0.05% sodium azide. |
Application |
|
|---|---|
| WB | 1/500 - 1/2000 |
| IHC | 1/200 - 1/1000 |
| IF | 1/200 - 1/1000 |
| FCM | 1/200 - 1/400 |
| ELISA | 1/10000 |
Product Image
-
Black line: Control Antigen (100 ng); Purple line: Antigen(10ng); Blue line: Antigen (50 ng); Red line: Antigen (100 ng);

-
Western blot analysis using NBN mouse mAb against A549 (1), Jurkat (2) and PC-12 (3) cell lysate.

-
Immunofluorescence analysis of Hela cells using NBN mouse mAb (green). Blue: DRAQ5 fluorescent DNA dye. Red: Actin filaments have been labeled with Alexa Fluor-555 phalloidin. Secondary antibody from Fisher (Cat#: 35503)

-
Flow cytometric analysis of Hela cells using NBN mouse mAb (green) and negative control (red).

-
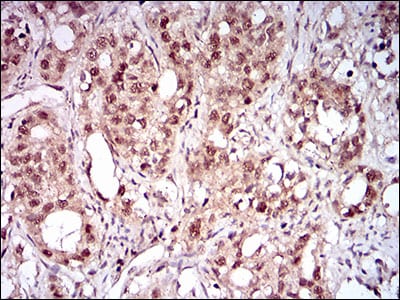
Immunohistochemical analysis of paraffin-embedded human cervical cancer tissues using NBN mouse mAb with DAB staining.

-
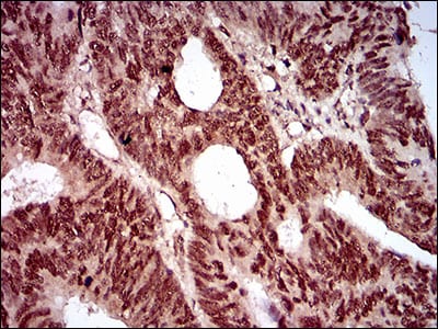
Immunohistochemical analysis of paraffin-embedded human rectum cancer tissues using NBN mouse mAb with DAB staining.







鄂公网安备42018502007531号

