Mouse Monoclonal Antibody to EIF2A
货号:
30599
别名:
CDA02; EIF-2A; MST089; MSTP004; MSTP089
应用:
WB,IHC,FCM
反应种属:
Human,Mouse,Monkey,Rat
抗体类型:
Primary antibody
Swissprot:
Q9BY44
规格:
目录价
在线咨询
Description |
|---|
EIF2A is a 65-kD protein that catalyzes the formation of puromycin-sensitive 80S preinitiation complexes. |
References |
|---|
| 1. Mol Biol (Mosk). 2010 Sep-Oct;44(5):859-66. 2. Cancer Res. 2009 Feb 15;69(4):1545-52. |
Specification |
|
|---|---|
| Aliases | CDA02; EIF-2A; MST089; MSTP004; MSTP089 |
| Entrez GeneID | 83939 |
| Swissprot | Q9BY44 |
| clone | 3A7B11 |
| WB Predicted band size | 65kDa |
| Host/Isotype | Mouse IgG1 |
| Antibody Type | Primary antibody |
| Storage | Store at 4°C short term. Aliquot and store at -20°C long term. Avoid freeze/thaw cycles. |
| Species Reactivity | Human,Mouse,Monkey,Rat |
| Immunogen | Purified recombinant fragment of human EIF2A (AA: 448-576) expressed in E. Coli. |
| Formulation | Purified antibody in PBS with 0.05% sodium azide. |
Application |
|
|---|---|
| WB | 1/500 - 1/2000 |
| IHC | 1/200 - 1/1000 |
| FCM | 1/200 - 1/400 |
| ELISA | 1/10000 |
Product Image
-
Black line: Control Antigen (100 ng); Purple line: Antigen(10ng); Blue line: Antigen (50 ng); Red line: Antigen (100 ng);

-
Western blot analysis using EIF2A mouse mAb against MCF-7 (1), PC-12 (2), HepG2 (3), Hela (4), Cos7 (5), K562 (6), Jurkat (7), A431 (8) and NIH/3T3 (9) cell lysate.

-
Flow cytometric analysis of HepG2 cells using EIF2A mouse mAb (green) and negative control (red).

-
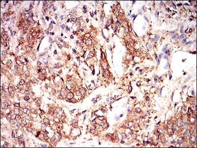
Immunohistochemical analysis of paraffin-embedded human cervical cancer tissues using EIF2A mouse mAb with DAB staining.

-
Immunohistochemical analysis of paraffin-embedded human bladder cancer tissues using EIF2A mouse mAb with DAB staining.






鄂公网安备42018502007531号

