Mouse Monoclonal Antibody to NT5E
货号:
30614
别名:
NT; eN; NT5; NTE; eNT; CD73; E5NT; CALJA
应用:
WB,IHC,FCM
反应种属:
Human,Mouse,Rat,Rabbit
抗体类型:
Primary antibody
Swissprot:
P21589
规格:
目录价
在线咨询
Description |
|---|
The protein encoded by this gene is a plasma membrane protein that catalyzes the conversion of extracellular nucleotides to membrane-permeable nucleosides. The encoded protein is used as a determinant of lymphocyte differentiation. Defects in this gene can lead to the calcification of joints and arteries. Two transcript variants encoding different isoforms have been found for this gene. |
References |
|---|
| 1. Appl Immunohistochem Mol Morphol. 2012 Mar;20(2):103-7. 2. J Surg Oncol. 2012 Aug 1;106(2):130-7. |
Specification |
|
|---|---|
| Aliases | NT; eN; NT5; NTE; eNT; CD73; E5NT; CALJA |
| Entrez GeneID | 4907 |
| Swissprot | P21589 |
| clone | 4G6E3 |
| WB Predicted band size | 63.4kDa |
| Host/Isotype | Mouse IgG1 |
| Antibody Type | Primary antibody |
| Storage | Store at 4°C short term. Aliquot and store at -20°C long term. Avoid freeze/thaw cycles. |
| Species Reactivity | Human,Mouse,Rat,Rabbit |
| Immunogen | Purified recombinant fragment of human NT5E (AA: 30-250) expressed in E. Coli. |
| Formulation | Purified antibody in PBS with 0.05% sodium azide. |
Application |
|
|---|---|
| WB | 1/500 - 1/2000 |
| IHC | 1/200 - 1/1000 |
| FCM | 1/200 - 1/400 |
| ELISA | 1/10000 |
Product Image
-
Black line: Control Antigen (100 ng); Purple line: Antigen(10ng); Blue line: Antigen (50 ng); Red line: Antigen (100 ng);

-
Western blot analysis using NT5E mouse mAb against A431 cell lysate.

-
Flow cytometric analysis of A431 cells using NT5E mouse mAb (green) and negative control (red).

-
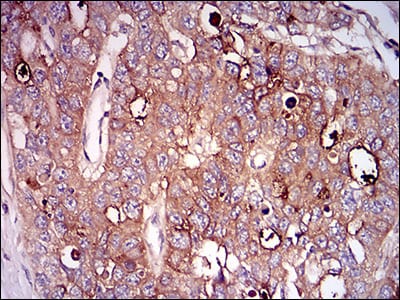
Immunohistochemical analysis of paraffin-embedded human endometrial cancer tissues using NT5E mouse mAb with DAB staining.

-
Immunohistochemical analysis of paraffin-embedded human esophageal cancer tissues using NT5E mouse mAb with DAB staining.

-
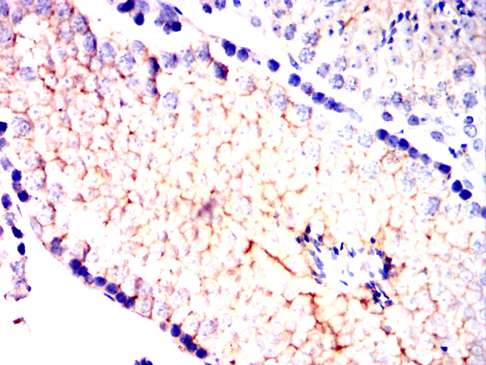
Immunohistochemical analysis of paraffin-embedded Mouse testis using NT5E mouse mAb with DAB staining.

-
Immunohistochemical analysis of paraffin-embedded Rat kidney using NT5E mouse mAb with DAB staining.

-
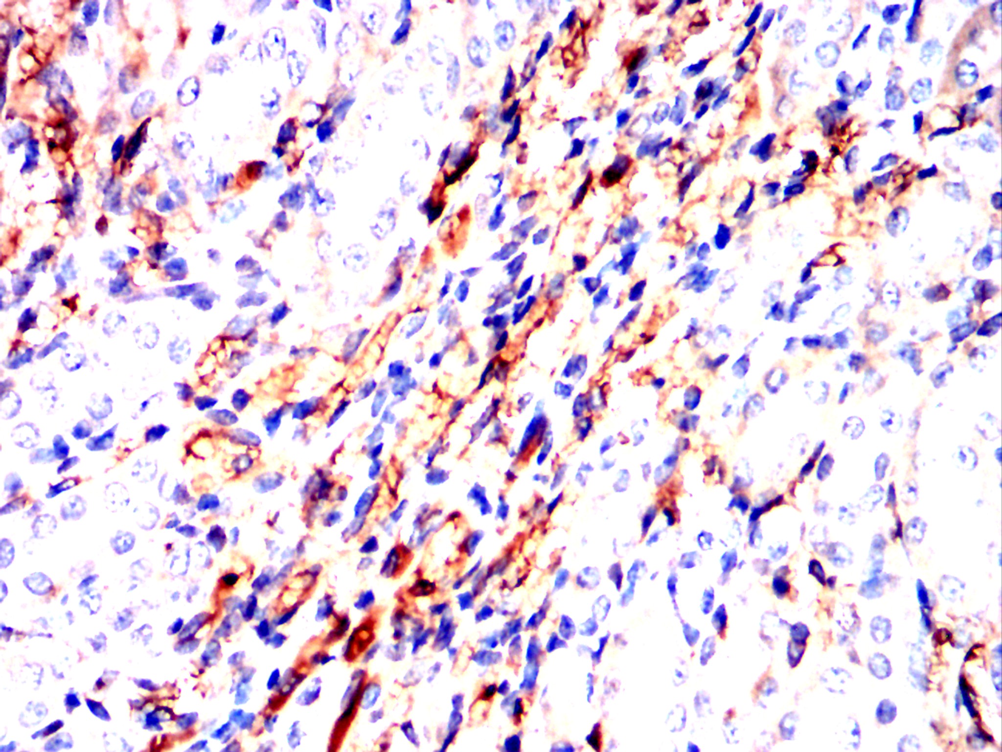
Immunohistochemical analysis of paraffin-embedded Rabbit testis using NT5E mouse mAb with DAB staining.

-
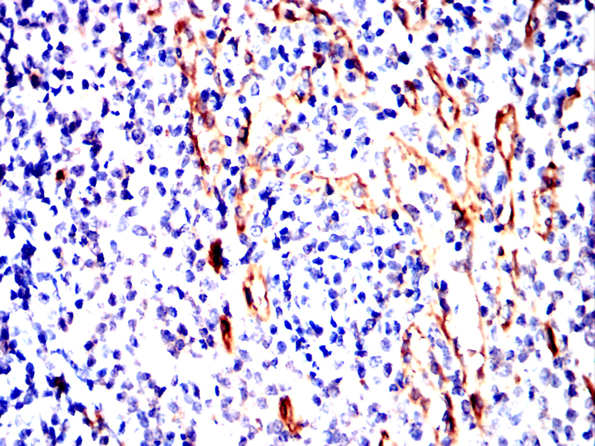
Immunohistochemical analysis of paraffin-embedded Rabbit spleen using NT5E mouse mAb with DAB staining.










鄂公网安备42018502007531号

