Mouse Monoclonal Antibody to SDC1
货号:
30602
别名:
SDC; CD138; SYND1; syndecan
应用:
WB,IHC,IF,FCM
反应种属:
Human,Mouse
抗体类型:
Primary antibody
Swissprot:
P18827
规格:
目录价
在线咨询
Description |
|---|
The protein encoded by this gene is a transmembrane (type I) heparan sulfate proteoglycan and is a member of the syndecan proteoglycan family. The syndecans mediate cell binding, cell signaling, and cytoskeletal organization and syndecan receptors are required for internalization of the HIV-1 tat protein. The syndecan-1 protein functions as an integral membrane protein and participates in cell proliferation, cell migration and cell-matrix interactions via its receptor for extracellular matrix proteins. Altered syndecan-1 expression has been detected in several different tumor types. While several transcript variants may exist for this gene, the full-length natures of only two have been described to date. These two represent the major variants of this gene and encode the same protein. |
References |
|---|
| 1. Am J Clin Pathol. 2012 Mar;137(3):423-8. 2. PLoS One. 2011;6(9):e25252. |
Specification |
|
|---|---|
| Aliases | SDC; CD138; SYND1; syndecan |
| Entrez GeneID | 6382 |
| Swissprot | P18827 |
| clone | 1A3H4 |
| WB Predicted band size | 32.5kDa |
| Host/Isotype | Mouse IgG1 |
| Antibody Type | Primary antibody |
| Storage | Store at 4°C short term. Aliquot and store at -20°C long term. Avoid freeze/thaw cycles. |
| Species Reactivity | Human,Mouse |
| Immunogen | Purified recombinant fragment of human SDC1 (AA: 28-171) expressed in E. Coli. |
| Formulation | Purified antibody in PBS with 0.05% sodium azide. |
Application |
|
|---|---|
| WB | 1/500 - 1/2000 |
| IHC | 1/200 - 1/1000 |
| IF | 1/200 - 1/1000 |
| FCM | 1/200 - 1/400 |
| ELISA | 1/10000 |
Product Image
-
Black line: Control Antigen (100 ng); Purple line: Antigen(10ng); Blue line: Antigen (50 ng); Red line: Antigen (100 ng);

-
Western blot analysis using SDC1 mouse mAb against MCF-7 (1), Hela (2), HepG2 (3), T47D (4), SW620 (5), Jurkat (6) and NIH/3T3 (7) cell lysate.

-
Immunofluorescence analysis of HepG2 cells using SDC1 mouse mAb (green). Blue: DRAQ5 fluorescent DNA dye. Secondary antibody from Fisher (Cat#: 35503)

-
Flow cytometric analysis of HepG2 cells using SDC1 mouse mAb (green) and negative control (red).

-
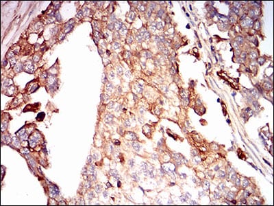
Immunohistochemical analysis of paraffin-embedded human ovarian cancer tissues using SDC1 mouse mAb with DAB staining.

-
Immunohistochemical analysis of paraffin-embedded human rectum cancer tissues using SDC1 mouse mAb with DAB staining.







鄂公网安备42018502007531号

