Mouse Monoclonal Antibody to CD14
货号:
30590
别名:
应用:
WB,IHC,FCM
反应种属:
Human,Mouse,Rat,Rabbit
抗体类型:
Primary antibody
Swissprot:
P08571
规格:
目录价
在线咨询
Description |
|---|
The protein encoded by this gene is a surface antigen that is preferentially expressed on monocytes/macrophages. It cooperates with other proteins to mediate the innate immune response to bacterial lipopolysaccharide. Alternative splicing results in multiple transcript variants encoding the same protein. |
References |
|---|
| 1. J Immunol. 2012 Dec 15;189(12):5729-44. 2. Iran J Immunol. 2011 Jun;8(2):111-9. |
Specification |
|
|---|---|
| Entrez GeneID | 929 |
| Swissprot | P08571 |
| clone | 4B4F12 |
| WB Predicted band size | 40kDa |
| Host/Isotype | Mouse IgG1 |
| Antibody Type | Primary antibody |
| Storage | Store at 4°C short term. Aliquot and store at -20°C long term. Avoid freeze/thaw cycles. |
| Species Reactivity | Human,Mouse,Rat,Rabbit |
| Immunogen | Purified recombinant fragment of human CD14 (AA: 20-214) expressed in E. Coli. |
| Formulation | Purified antibody in PBS with 0.05% sodium azide |
Application |
|
|---|---|
| WB | 1/500 - 1/2000 |
| IHC | 1/200 - 1/1000 |
| FCM | 1/200 - 1/400 |
| ELISA | 1/10000 |
Product Image
-
Black line: Control Antigen (100 ng); Purple line: Antigen(10ng); Blue line: Antigen (50 ng); Red line: Antigen (100 ng);

-
Western blot analysis using CD14 mouse mAb against HepG2 (1), A549 (2), HL60 (3), RAW264.7 (4), Hela (5), HEK293 (6) and NIH/3T3 (7) cell lysate.

-
Flow cytometric analysis of Jurkat cells using CD14 mouse mAb (green) and negative control (red).

-
Flow cytometric analysis of COS7 cells using CD14 mouse mAb (green) and negative control (red).

-
Flow cytometric analysis of Hela cells using CD14 mouse mAb (green) and negative control (red).

-
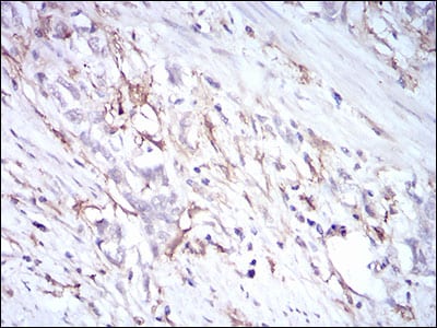
Immunohistochemical analysis of paraffin-embedded human stomach cancer tissues using CD14 mouse mAb with DAB staining.

-
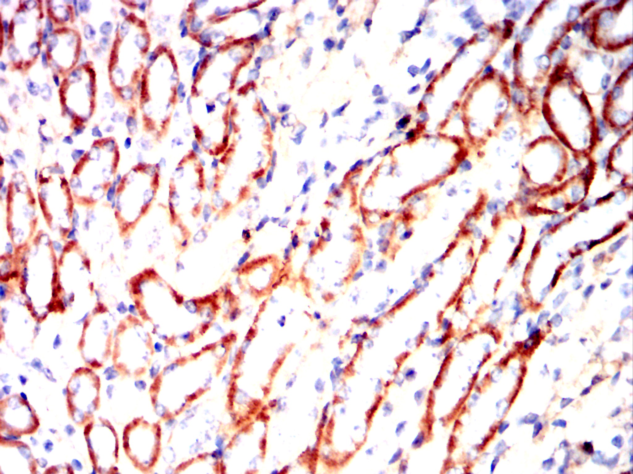
Immunohistochemical analysis of paraffin-embedded Mouse kidney using CD14 mouse mAb with DAB staining.

-
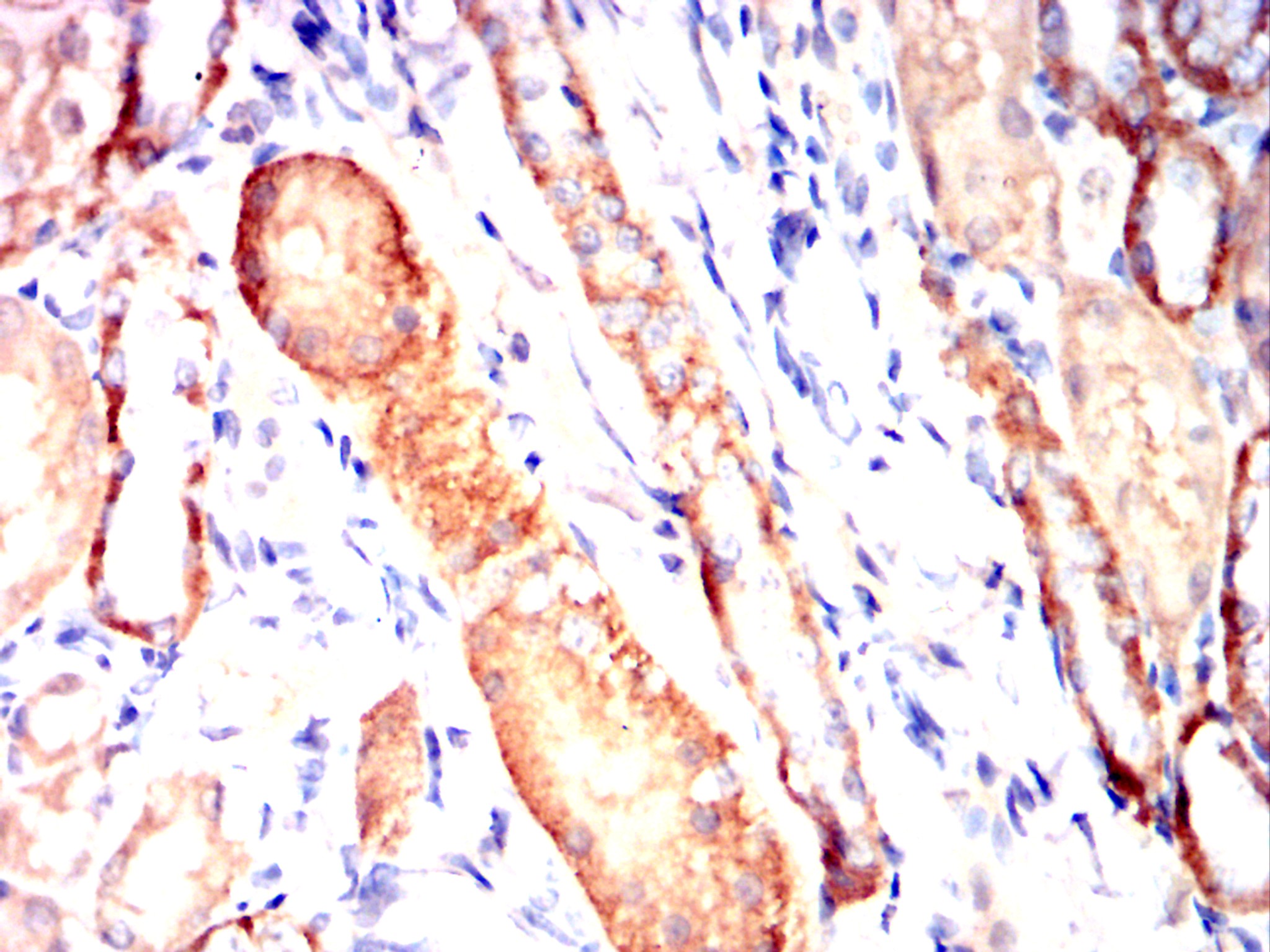
Immunohistochemical analysis of paraffin-embedded Rat kidney using CD14 mouse mAb with DAB staining.

-
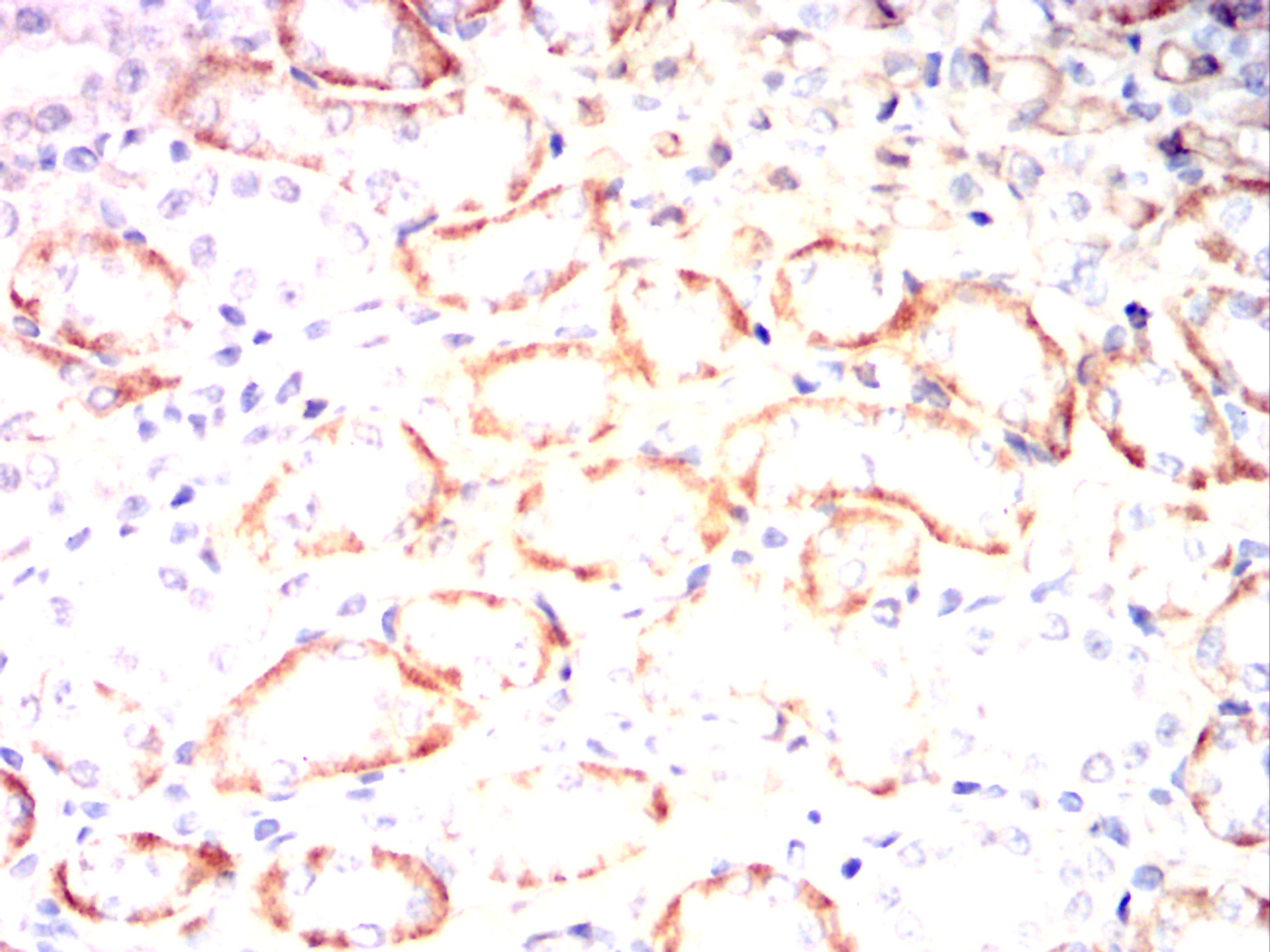
Immunohistochemical analysis of paraffin-embedded Rabbit kidney using CD14 mouse mAb with DAB staining.










鄂公网安备42018502007531号

