-
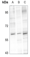
分类: 科研抗体货号: P52130别名: P2PR; PACT; RBQ1; E3 ubiquitin-protein ligase RBBP6; Proliferation potential-related protein; Protein P2P-R; Retinoblastoma-binding Q protein 1; RBQ-1; Retinoblastoma-binding protein 6; p53-associated cellular protein of testis;RBBP6应用: WB, IHC反应种属: Human,Mouse,Rat,Monkey
-
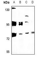
分类: 科研抗体货号: P52115别名: Rho GTPase-activating protein 18; MacGAP; Rho-type GTPase-activating protein 18;ARHGAP18应用: WB, IHC反应种属: Human,Mouse,Rat,Monkey
-
分类: 科研抗体货号: P52124别名: Putative homeobox protein NANOGP8;NANOGP8应用: WB反应种属: Human,Mouse,Rat
-
分类: 科研抗体货号: P52129别名: REC1; Cell cycle checkpoint protein RAD1; hRAD1; DNA repair exonuclease rad1 homolog; Rad1-like DNA damage checkpoint protein;RAD1应用: WB反应种属: Human,Mouse,Rat
-
分类: 科研抗体货号: P52114别名: ARFO2; KIAA1821; Rab11 family-interacting protein 4; FIP4-Rab11; Rab11-FIP4; Arfophilin-2;RAB11FIP4应用: WB, IHC反应种属: Human,Mouse,Rat,Monkey
-
分类: 科研抗体货号: P52123别名: EMR4; GPR127; PGR16; Putative EGF-like module-containing mucin-like hormone receptor-like 4; EGF-like module receptor 4; G-protein coupled receptor 127; G-protein coupled receptor PGR16;EMR4应用: WB反应种属: Human,Mouse,Rat
-
分类: 科研抗体货号: P52113别名: NOHMA; HORMA domain-containing protein 1; Cancer/testis antigen 46; CT46; Newborn ovary HORMA protein;HORMAD1应用: WB反应种属: Human,Mouse,Monkey
-
分类: 科研抗体货号: P52122别名: Phosphatidylinositol-glycan biosynthesis class W protein; PIG-W;PIGW应用: WB反应种属: Human,Mouse,Rat
-
分类: 科研抗体货号: P52136别名: Brain protein I3; pRGR2;BRI3应用: WB反应种属: Human,Mouse,Rat,Bovine
-
分类: 科研抗体货号: P52121别名: Probable G-protein coupled receptor 125;GPR125应用: WB, IHC反应种属: Human,Mouse,Rat
鄂公网安备42018502007531号

