-
分类: 科研抗体货号: P43309别名: CEACAM5; CEA; Carcinoembryonic antigen-related cell adhesion molecule 5; Carcinoembryonic antigen; CEA; Meconium antigen 100; CD66e应用: WB反应种属: Human
-
分类: 科研抗体货号: P43308别名: FGF6; HST2; HSTF2; Fibroblast growth factor 6; FGF-6; Heparin secretory-transforming protein 2; HST-2; HSTF-2; Heparin-binding growth factor 6; HBGF-6应用: WB反应种属: Human,Mouse,Rat
-
分类: 科研抗体货号: P43329别名: CD84; SLAMF5; SLAM family member 5; Cell surface antigen MAX.3; Hly9-beta; Leukocyte differentiation antigen CD84; Signaling lymphocytic activation molecule 5; CD84应用: WB反应种属: Human,Mouse
-
分类: 科研抗体货号: P43307别名: NTRK3; TRKC; NT-3 growth factor receptor; GP145-TrkC; Trk-C; Neurotrophic tyrosine kinase receptor type 3; TrkC tyrosine kinase应用: WB反应种属: Human
-
分类: 科研抗体货号: P43328别名: PSG1; B1G1; PSBG1; PSGGA; Pregnancy-specific beta-1-glycoprotein 1; PS-beta-G-1; PSBG-1; Pregnancy-specific glycoprotein 1; CD66 antigen-like family member F;应用: WB反应种属: Human
-
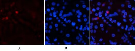
分类: 科研抗体货号: P43339别名: EPAS1; BHLHE73; HIF2A; MOP2; PASD2; Endothelial PAS domain-containing protein 1; EPAS-1; Basic-helix-loop-helix-PAS protein MOP2; Class E basic helix-loop-helix protein 73; bHLHe73;应用: WB,IHC,IF反应种属: Human,Mouse,Rat
-
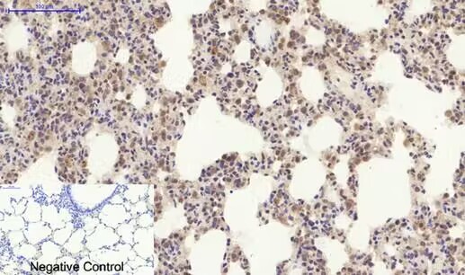
分类: 科研抗体货号: P43327别名: CD59; MIC11; MIN1; MIN2; MIN3; MSK21; CD59 glycoprotein; 1F5 antigen; 20 kDa homologous restriction factor; HRF-20; HRF20; MAC-inhibitory protein; MAC-IP;应用: WB,IHC反应种属: Human,Mouse,Rat
-
分类: 科研抗体货号: P43337别名: BMP8A; Bone morphogenetic protein 8A; BMP-8A应用: WB反应种属: Human,Mouse,Rat
-
分类: 科研抗体货号: P43325别名: CD28; T-cell-specific surface glycoprotein CD28; TP44; CD28应用: WB反应种属: Human
-
分类: 科研抗体货号: P43336别名: IL29; IFNL1; ZCYTO21; Interleukin-29; IL-29; Cytokine Zcyto21; Interferon lambda-1; IFN-lambda-1应用: WB反应种属: Human
鄂公网安备42018502007531号

