-
分类: 科研抗体货号: P43059别名: CDK8; Cyclin-dependent kinase 8; Cell division protein kinase 8; Mediator complex subunit CDK8; Mediator of RNA polymerase II transcription subunit CDK8; Protein kinase K35应用: WB,IHC反应种属: Human,Mouse
-
分类: 科研抗体货号: P43041别名: TRAPPC3; BET3; CDABP0066; Trafficking protein particle complex subunit 3; BET3 homolog应用: WB,IHC反应种属: Human,Mouse,Rat
-
分类: 科研抗体货号: P43051别名: CREBBP; CBP; CREB-binding protein应用: WB,IHC,IF反应种属: Human,Mouse,Rat
-
分类: 科研抗体货号: P43058别名: CDC42EP5; BORG3; CEP5; Cdc42 effector protein 5; Binder of Rho GTPases 3应用: WB,IHC反应种属: Human,Mouse
-
分类: 科研抗体货号: P43040别名: BCL2; Apoptosis regulator Bcl-2应用: WB,IHC,IF反应种属: Human,Mouse,Rat
-
分类: 科研抗体货号: P43050别名: CALM1; CALM; CAM; CAM1; CALM2; CAM2; CAMB; CALM3; CALML2; CAM3; CAMC; CAMIII; Calmodulin; CaM应用: WB,IHC,IF反应种属: Human,Mouse,Rat
-
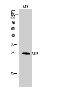
分类: 科研抗体货号: P43057别名: CD9; MIC3; TSPAN29; GIG2; CD9 antigen; 5H9 antigen; Cell growth-inhibiting gene 2 protein; Leukocyte antigen MIC3; Motility-related protein; MRP-1; Tetraspanin-29; Tspan-29; p24; CD antigen CD9应用: WB,IHC,IF反应种属: Human,Mouse,Rat
-
分类: 科研抗体货号: P43039别名: ARID1B; BAF250B; DAN15; KIAA1235; OSA2; AT-rich interactive domain-containing protein 1B; ARID domain-containing protein 1B; BRG1-associated factor 250b; BAF250B; BRG1-binding protein hELD/OSA1; Osa homolog 2; hOsa2; p250R应用: WB,IHC,IF反应种属: Human,Rat
-
分类: 科研抗体货号: P43049别名: CDH19; CDH7L2; Cadherin-19应用: WB,IHC,IF反应种属: Human
-
分类: 科研抗体货号: P43056别名: ST6GAL1; SIAT1; Beta-galactoside alpha-2; 6-sialyltransferase 1; Alpha 2,6-ST 1; B-cell antigen CD75; CMP-N-acetylneuraminate-beta-galactosamide-alpha-2,6-sialyltransferase 1; ST6Gal I; ST6GalI; Sialyltransferase 1应用: WB,IHC反应种属: Human,Mouse,Rat
鄂公网安备42018502007531号

