-
分类: 科研抗体货号: P43030别名: ANKRD30A; Ankyrin repeat domain-containing protein 30A; Serologically defined breast cancer antigen NY-BR-1应用: WB,IHC反应种属: Human
-
分类: 科研抗体货号: P43027别名: AKAP5; AKAP79; A-kinase anchor protein 5; AKAP-5; A-kinase anchor protein 79 kDa; AKAP 79; H21; cAMP-dependent protein kinase regulatory subunit II high affinity-binding protein应用: WB,IHC,IF反应种属: Human
-
分类: 科研抗体货号: P43045别名: CEBPB; LAP; TCF5; PP9092; CCAAT/enhancer-binding protein beta; C/EBP beta; Liver activator protein; Nuclear factor NF-IL6; Transcription factor 5; TCF-5应用: WB,IHC反应种属: Human,Mouse
-
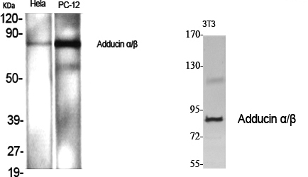
分类: 科研抗体货号: P43026别名: ADD1; ADDA; Alpha-adducin; Erythrocyte adducin subunit alpha; ADD2; ADDB; Beta-adducin; Erythrocyte adducin subunit beta应用: WB,IP,IHC,IF反应种属: Human,Mouse,Rat
-
分类: 科研抗体货号: P43061别名: CUX1; CUTL1; Homeobox protein cut-like 1; CCAAT displacement protein; CDP; Homeobox protein cux-1; CUX1; CUTL1; Protein CASP应用: WB,IHC,IF反应种属: Human,Mouse
-
分类: 科研抗体货号: P43043别名: BMP7; OP1; Bone morphogenetic protein 7; BMP-7; Osteogenic protein 1; OP-1; Eptotermin alfa应用: WB,IHC反应种属: Human,Mouse,Rat
-
分类: 科研抗体货号: P43025别名: ACTG2; ACTA3; ACTL3; ACTSG; Actin; gamma-enteric smooth muscle; Alpha-actin-3; Gamma-2-actin; Smooth muscle gamma-actin应用: WB,IHC,IF反应种属: Human,Mouse,Rat
-
分类: 科研抗体货号: P43060别名: CDKN3; CDI1; CIP2; KAP; Cyclin-dependent kinase inhibitor 3; CDK2-associated dual-specificity phosphatase; Cyclin-dependent kinase interactor 1; Cyclin-dependent kinase-interacting protein 2; Kinase-associated phosphatase应用: WB,IHC反应种属: Human,Mouse
-
分类: 科研抗体货号: P43042别名: BMP5; Bone morphogenetic protein 5; BMP-5应用: WB,IHC反应种属: Human,Mouse
-
分类: 科研抗体货号: P43024别名: SLC27A5; ACSB; ACSVL6; FACVL3; FATP5; Bile acyl-CoA synthetase; BACS; Bile acid-CoA ligase; BA-CoA ligase; BAL; Cholate--CoA ligase; Fatty acid transport protein 5; FATP-5; Fatty-acid-coenzyme A ligase; very long-chain 3; Solute carrier fam应用: WB,IHC,IF反应种属: Human
鄂公网安备42018502007531号

