-
分类: 科研抗体货号: P42870别名: D-10; CHRNA7; CHRNA7-DR1应用: WB,IHC反应种属: Human,Mouse
-
分类: 科研抗体货号: P42869别名: PUM; MYF3; MYOD; bHLHc1应用: WB,IHC反应种属: Human, Mouse, Rat
-
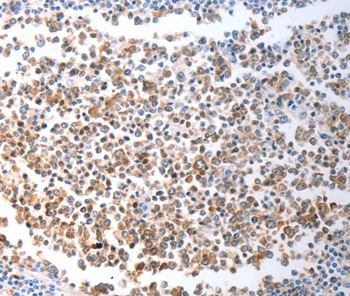
分类: 科研抗体货号: P42891别名: PTA1; DNAM1; DNAM-1; TLiSA1应用: IHC反应种属: Human
-
分类: 科研抗体货号: P42868别名: MRP5; SMRP; ABC33; MOATC; MOAT-C; pABC11; EST277145应用: WB,IHC反应种属: Human,Mouse
-
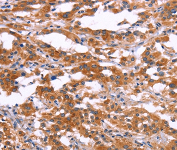
分类: 科研抗体货号: P42889别名: 7B4; CD144应用: IHC反应种属: Human
-
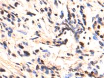
分类: 科研抗体货号: P42867别名: CLCS; MDR1; P-GP; PGY1; ABC20; CD243; GP170应用: IHC反应种属: Human
-
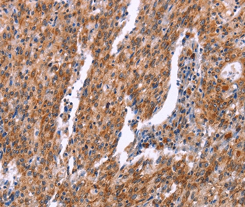
分类: 科研抗体货号: P42888别名: RSK4; PP90RSK4应用: IHC反应种属: Human
-
分类: 科研抗体货号: P42866别名: LORD; CTRP5应用: WB反应种属: Human
-
分类: 科研抗体货号: P42887别名: ARTS; DFN2; PRSI; CMTX5; DFNX1; PRS-I; PPRibP/PRSII/PRPS1; PRPS3; PRPSL; PRS-III应用: WB,IHC反应种属: Human,Mouse,Rat
-
分类: 科研抗体货号: P42899别名: 7B4; CD144应用: IHC反应种属: Human
鄂公网安备42018502007531号

