-
分类: 科研抗体货号: P42760别名: ACT2; G-26; HC21; LAG1; LAG-1; MIP1B; SCYA2; SCYA4; MIP1B1; AT744.1; MIP-1-beta应用: IHC反应种属: Human
-
分类: 科研抗体货号: P42736别名: Serine/threonine-protein kinase VRK3; vaccinia related kinase 3; Vaccinia-related kinase 3; VRK3;应用: WB反应种属: Human
-
分类: 科研抗体货号: P42759别名: PAS3; MUC-15; PASIII应用: WB,IHC反应种属: Human,Mouse
-
分类: 科研抗体货号: P42735别名: Calcium/calmodulin-dependent protein kinase kinase 2; CaM-KK 2; CaM-kinase kinase 2; CaMKK 2; Calcium/calmodulin-dependent protein kinase kinase beta应用: WB,IHC反应种属: Human
-
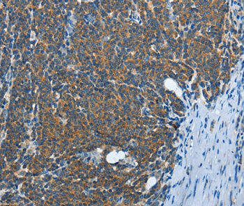
分类: 科研抗体货号: P42758别名: APJ; APJR; HG11; AGTRL1应用: WB,IHC反应种属: Human
-
分类: 科研抗体货号: P42734别名: kinase TLK1; PKU-beta; tousled-like kinase 1;应用: WB反应种属: Human,Mouse,Rat
-
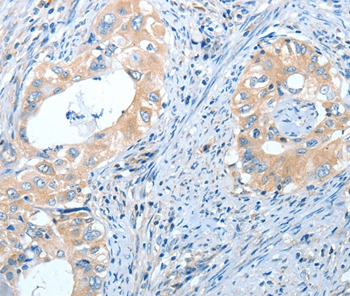
分类: 科研抗体货号: P42754别名: CT19; IL-13R; IL13BP; CD213A2应用: IHC反应种属: Human
-
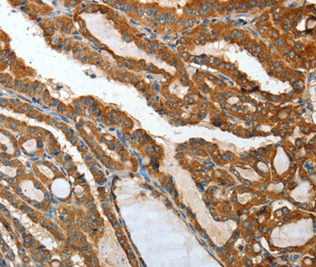
分类: 科研抗体货号: P42770别名: GIP; Gastric inhibitory polypeptide;Glucose-dependent insulinotropic polypeptide应用: WB,IHC反应种属: Human
-
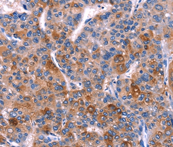
分类: 科研抗体货号: P42768别名: BEDP; MDSP; TMDP; SKRP4; DUSP13A; DUSP13B应用: IHC反应种属: Human
-
分类: 科研抗体货号: P42753别名: CD212; IL12RB; IL-12R-BETA1应用: IHC反应种属: Human
鄂公网安备42018502007531号

