-
分类: 科研抗体货号: 31037别名: CD289应用: FCM反应种属: Human
-
分类: 科研抗体货号: 31038别名: JNK3; JNK3A; PRKM10; SAPK1b; p493F12; p54bSAPK应用: WB反应种属: Human,Rat
-
分类: 科研抗体货号: 31036别名: CD289应用: IHC,IF,FCM反应种属: Human
-
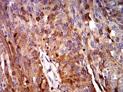
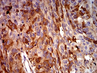
分类: 科研抗体货号: 31055别名: ASP; C3a; C3b; AHUS5; ARMD9; CPAMD1; HEL-S-62p应用: WB,IHC,IF,FCM反应种属: Human
-
分类: 科研抗体货号: 31035别名: BAM32应用: FCM反应种属: Human
-
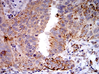
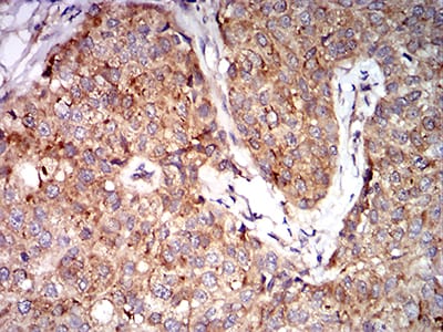
分类: 科研抗体货号: 31054别名: ASP; C3a; C3b; AHUS5; ARMD9; CPAMD1; HEL-S-62p应用: IHC反应种属: Human
-
分类: 科研抗体货号: 31034别名: AOF2; CPRF; KDM1; LSD1; BHC110应用: WB,IHC,IF,FCM反应种属: Human,Monkey
-
分类: 科研抗体货号: 31053别名: EIF-5; EIF-5A应用: WB反应种属: Human,Monkey
-
分类: 科研抗体货号: 31061别名: SELS; ADO15; SBBI8; SEPS1; AD-015应用: IF,FCM反应种属: Human
-
分类: 科研抗体货号: 31052别名: EIF-5; EIF-5A应用: IHC,IF,FCM反应种属: Human
鄂公网安备42018502007531号

