-
分类: 科研抗体货号: 20122别名: BRK; FLJ42088应用: WB反应种属: Human
-
分类: 科研抗体货号: 20133别名: DKFZp686D0638; GSK3A应用: WB,IF反应种属: Human
-
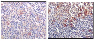
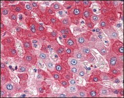
分类: 科研抗体货号: 20121别名: PBT; SCFR; C-Kit; CD117; KIT应用: IHC反应种属: Human
-
分类: 科研抗体货号: 20132别名: BTK应用: WB,IHC,IF反应种属: Human,Monkey
-
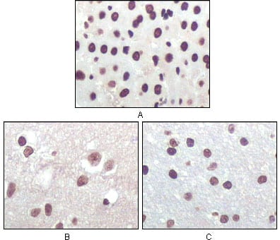
分类: 科研抗体货号: 20147别名: PRAK; MAPKAPK5应用: IHC反应种属: Human
-
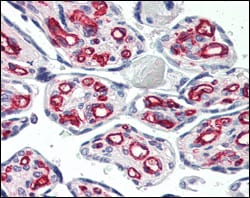
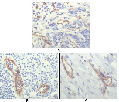
分类: 科研抗体货号: 20131别名: CD31; PECAM-1; PECAM1应用: IHC,IF反应种属: Human
-
分类: 科研抗体货号: 20146别名: FPS应用: IHC反应种属: Human
-
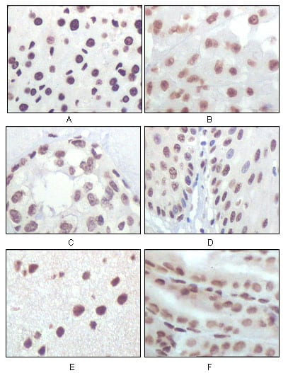
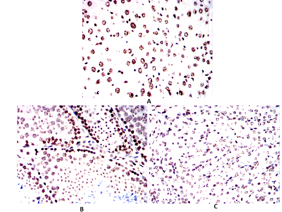
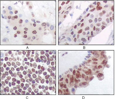
分类: 科研抗体货号: 20130别名: P16应用: IHC反应种属: Human,Mouse,Rat,Rabbit
-
分类: 科研抗体货号: 20145别名: TKF; JTK2; CD334; MGC20292应用: IHC反应种属: Human
-
分类: 科研抗体货号: 20129别名: P16应用: IHC反应种属: Human,Mouse,Rat,Rabbit
鄂公网安备42018502007531号

